審美歯科の7つの道具〜その5〜
ルクサテンプ
完成品を理想的状態にするため
以前、オーダーメイドシューズがどのように制作されるのかをテレビで見ました。
オーダーメイドシューズを作る際には、先ず、お客様の足を細かく測定します。そして、その人の足の形に合わせて、理想的な状態の靴を制作します。
しかし、これは完成品ではなく、仮の靴なのです。
この仮の靴をお客様に履いていただいて、痛いところ、きついところがないかを確認し、そして、仮の靴を微調整します。そして、最高の靴に仮の靴が仕上がってから、それと同じものを完成品として制作していたのです。
これは「審美歯科」でも同じなのです。
単にかぶせ物を「セラミック」にするのではありません。
オーダーメイドの靴がお客様の足を細かく測定するのと同様、その患者様の様々な検査をお口の中だけでなく行い、その患者様の理想的な状態 を診査・診断します。
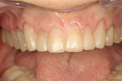
本当の審美歯科では、その理想的な状態と思われるものを模型上で作ってしまうのです。そして、模型の型どりをして、その型にルクサテンプというプラスチックの材料を流し込んで、仮の歯を作ってしまいます。
仮の歯を患者様にセットした状態で、歯と患者様の顔とのバランス、歯の大きさ、笑った時の歯の見え方なども全てチェックした上で、仮の歯を調整し、最終形に仮の歯を近づけていくのです。
そして、最終形になったものを完成品としてセラミックにするのです。
最初から完成品を作るのではなく、オーダーメイドの靴のように理想形を診査・診断し、仮の歯を制作、仮の歯を徹底的に最終形に仕上げた上で完成品を作ることこそが本当の「審美歯科」には欠かせないと私は考えます。




最初から完成品を作るのではなく、オーダーメイドの靴のように理想形を診査・診断し、仮の歯を制作、仮の歯を徹底的に最終形に仕上げた上で完成品を作ることこそが本当の「審美歯科」には欠かせないと私は考えます。

