お口の悩み
銀歯が嫌だ
笑った時に銀歯がキラっと見えるのがきになる・・・


「笑った時に銀歯がキラッと見えるのが気になる」
「銀歯が錆びて黒くなってるのが体に悪そう・・・」
このようなお悩みを持たれてる方は実は非常に多いのです。
以前に保険で治療した際に銀の詰め物、かぶせ物を入れたんだけど、そこの銀歯が気になってしまう。気になりだすと鏡を見ても、写真を見ても、自分の目が銀歯に行ってしまう。
もしかしたら、他の人も自分の銀歯が気になってるのかな? と思うと、自分も他の人の銀歯に目が行ってしまう。
多くの方は「奥歯だから保険で」とおっしゃいます。 しかし、日本では奥歯の場合、保険で治療するとどうしても銀歯になってしまうのです。
日本では当たり前の銀歯ですが、他の先進国で銀歯が当たり前の国はありません。

自分の体の中にそんなキラッと光る銀の素材のものが装着されてるのです。 違和感があるのが当たり前なのです。
でも、あなたのその悩み、諦めないでください。 審美歯科治療で解決できる可能性があります。
では、このような悩みはどうすれば解決できるのでしょうか?
それは・・・?
治療方法
かぶせ物の場合
治療方法
オールセラミック治療
治療回数
3回
根管治療が必要な場合はプラス2回程度
費用
オールセラミック治療
1本 136,500円
1回の治療時間
30-40分程度
痛み
歯が入るまでは治療後に冷たいものなどが沁みる場合があります。治療後、歯が入るまでは治療してる側では咬まないようにしてください。ハレなどが出る心配はありません。
詰め物の場合
治療方法
・高強度セラミック治療(エンプレス)
・ハイブリッドセラミック治療
治療回数
2回
費用
高強度セラミック治療
小臼歯73,500円 / 大臼歯94,500円
ハイブリッドセラミック治療
小臼歯52,500円 / 大臼歯73,500円
1回の治療時間
30-40分程度
痛み
歯が入るまでは治療後に冷たいものなどが沁みる場合があります。治療後、歯が入るまでは治療してる側では咬まないようにしてください。ハレなどが出る心配はありません。
治療方法
オールセラミック治療
治療回数
3回
根管治療が必要な場合はプラス2回程度
費用
オールセラミック治療
1本 136,500円
1回の治療時間
30-40分程度
痛み
歯が入るまでは治療後に冷たいものなどが沁みる場合があります。治療後、歯が入るまでは治療してる側では咬まないようにしてください。ハレなどが出る心配はありません。
詰め物の場合
治療方法
・高強度セラミック治療(エンプレス)
・ハイブリッドセラミック治療
治療回数
2回
費用
高強度セラミック治療
小臼歯73,500円 / 大臼歯94,500円
ハイブリッドセラミック治療
小臼歯52,500円 / 大臼歯73,500円
1回の治療時間
30-40分程度
痛み
歯が入るまでは治療後に冷たいものなどが沁みる場合があります。治療後、歯が入るまでは治療してる側では咬まないようにしてください。ハレなどが出る心配はありません。
セラミック治療の特徴
●かぶせ物にハイブリッドセラミックは使いません
多くの医院ではかぶせ物にもハイブリッドセラミックを使うようですが、当院では使いません。ハイブリッドセラミックとは92%のセラミックスの粒子とその粒子をつなぐ微量のプラスチックが混ざり合って出来たものです。
「92%もセラミックが入ってるんだからセラミックと同じような機能があるんじゃないの?」と思われると思います。 もちろん、そのような意図でこの素材は開発されました。そして一定の成果を出しました。 費用もセラミックよりも安価になりました。
しかし、やはりセラミックとは違うのです。 特にセラミックスの粒子をつないでいるのがプラスチックなので強度がプラスチックなのです。ですから、かぶせ物として必要な強度をハイブリッドセラミックは持ち合わせていないのです。
かぶせ物に使うと咬む部分が擦り減ったり、割れたりするリスクも高いのです。
また、プラスチックが使われてるので変色のリスクが高いです。
プラスチックを使っているのでプラスチックは水分を吸着しやすく、結果としてプラーク(歯垢)がつきやすくなってしまうのです。
したがって、当院ではかぶせ物の治療でハイブリッドセラミック治療は使っていません。
●かぶせ物にはオールセラミック治療
治療費は高くなってしまいますが、やるならばオールセラミック治療を提案することが多いです。
なぜならば、審美的に最も優れているからです。 天然の歯のような美しさを出すことができます。
前から数えて4番目、5番目の歯、つまり、笑った時にギリギリ見える歯は審美領域になるのです。つまり、その人の印象を大きく左右する部分になります。 ですから、少なくとも4番目、5番目の歯はかぶせ物の場合、オールセラミック治療をされることをオススメします。ただし、治療費の関係で難しい場合にはメタルボンド(従来型のセラミック治療)を提案します。
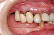
●銀歯は審美面、健康面でオススメできません
先程も申し上げたように、いわゆる銀歯といわれる金銀パラジウム合金は保険制度の経済的な理由から選択された素材です。良いところは保険が効くので「安い」ということだけです。
審美的に見ると、銀歯は全く自然でないのでオススメできません。 それは奥歯の詰め物であってもです。
「奥歯だから目立たないし・・・」
と思っても、そこだけ銀歯になってると気になるものです。
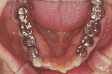
治療前
歯科治療で銀歯(パラジウム合金)を使用するのは他の国ではナンセンスです。
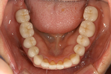
治療後
審美的で健康にも良いセラミックスでの治療はこんな感じです。
そして、健康面でも問題があります。
それは・・・接着の問題です。
●セメントによる「2次カリエス」
金属には接着剤がつきづらいのでセメントで合着することになります。
セメントは唾液中の酸によって時間の経過と共に溶かされてしまうのです。
セメントが溶けだして、かぶせ物が取れてしまうだけならまだ良いのです。
しかし、溶け出して、空いたスペースにプラーク(歯垢)が入り込んでしまい、かぶせ物の下にある歯を再び、虫歯にしてしまうのです。これを2次カリエスといいます。 これが続くとどうなるでしょうか? 最初は神経を取らずに詰め物にした詰め物が取れてしまい、次はかぶせ物に。 かぶせ物が取れてしまい、次は抜歯に。
というように、どんどん、自分の歯が悪くなり、最後には自分の歯を失ってしまうことにもなりかねないのです。
●金属アレルギー
更に、金属アレルギーの問題もあります。
金属アレルギーは花粉症のように突然、発症します。
誰が、いつ、金属アレルギーになるかは分らないのです。
予防的な側面からも銀歯は取り除いておいた方が安全・安心です。 このように、保険の銀歯のメリットは「安さ」だけなのです。 そして、安さと引き換えに「見た目の美しさ」だけでなく「自分の歯の健康」も同時に失っているということも是非、理解しておいてください。
「ここの銀歯がキラッとしてるのが気になる・・・」と思っていた銀歯が消え、自然な歯に変わるとしたら・・・
「大きな口を開けて笑うと銀の詰め物が見えてしまう」と気になっていたのが何も気にせず大きな口を開けて笑えるとしたら・・・
「銀歯って健康にいいのかしら・・・」と思っていた不安がなくなったとしたら・・・
あなたがこれまでにずっと思い続けてきたことがオールセラミック治療によって実現するかもしれません!

「92%もセラミックが入ってるんだからセラミックと同じような機能があるんじゃないの?」と思われると思います。 もちろん、そのような意図でこの素材は開発されました。そして一定の成果を出しました。 費用もセラミックよりも安価になりました。
しかし、やはりセラミックとは違うのです。 特にセラミックスの粒子をつないでいるのがプラスチックなので強度がプラスチックなのです。ですから、かぶせ物として必要な強度をハイブリッドセラミックは持ち合わせていないのです。
かぶせ物に使うと咬む部分が擦り減ったり、割れたりするリスクも高いのです。
また、プラスチックが使われてるので変色のリスクが高いです。
プラスチックを使っているのでプラスチックは水分を吸着しやすく、結果としてプラーク(歯垢)がつきやすくなってしまうのです。
したがって、当院ではかぶせ物の治療でハイブリッドセラミック治療は使っていません。
●かぶせ物にはオールセラミック治療

なぜならば、審美的に最も優れているからです。 天然の歯のような美しさを出すことができます。
前から数えて4番目、5番目の歯、つまり、笑った時にギリギリ見える歯は審美領域になるのです。つまり、その人の印象を大きく左右する部分になります。 ですから、少なくとも4番目、5番目の歯はかぶせ物の場合、オールセラミック治療をされることをオススメします。ただし、治療費の関係で難しい場合にはメタルボンド(従来型のセラミック治療)を提案します。
●銀歯は審美面、健康面でオススメできません

審美的に見ると、銀歯は全く自然でないのでオススメできません。 それは奥歯の詰め物であってもです。
「奥歯だから目立たないし・・・」
と思っても、そこだけ銀歯になってると気になるものです。

歯科治療で銀歯(パラジウム合金)を使用するのは他の国ではナンセンスです。
▼

審美的で健康にも良いセラミックスでの治療はこんな感じです。
それは・・・接着の問題です。
●セメントによる「2次カリエス」

セメントは唾液中の酸によって時間の経過と共に溶かされてしまうのです。
セメントが溶けだして、かぶせ物が取れてしまうだけならまだ良いのです。
しかし、溶け出して、空いたスペースにプラーク(歯垢)が入り込んでしまい、かぶせ物の下にある歯を再び、虫歯にしてしまうのです。これを2次カリエスといいます。 これが続くとどうなるでしょうか? 最初は神経を取らずに詰め物にした詰め物が取れてしまい、次はかぶせ物に。 かぶせ物が取れてしまい、次は抜歯に。
というように、どんどん、自分の歯が悪くなり、最後には自分の歯を失ってしまうことにもなりかねないのです。
●金属アレルギー

予防的な側面からも銀歯は取り除いておいた方が安全・安心です。 このように、保険の銀歯のメリットは「安さ」だけなのです。 そして、安さと引き換えに「見た目の美しさ」だけでなく「自分の歯の健康」も同時に失っているということも是非、理解しておいてください。
「ここの銀歯がキラッとしてるのが気になる・・・」と思っていた銀歯が消え、自然な歯に変わるとしたら・・・
「大きな口を開けて笑うと銀の詰め物が見えてしまう」と気になっていたのが何も気にせず大きな口を開けて笑えるとしたら・・・
「銀歯って健康にいいのかしら・・・」と思っていた不安がなくなったとしたら・・・
あなたがこれまでにずっと思い続けてきたことがオールセラミック治療によって実現するかもしれません!

