お口の悩み
かぶせ物の色が気に入らない
他の医院でせっかく保険外で治療したのに、その歯が気に入らない!

「他の医院でせっかく保険外で治療したのに、その歯が気に入らない」
「他の医院でやったメタルボンド(従来型のセラミック治療)が不自然な気がするけど、先生に言っても対応してくれない」
という悩みを抱えた方がうちの医院には多く来院されます。 実は、このようなお悩みを持たれてる方は実は非常に多いのです。
このような患者さんはこだわりの強い方です。
「白いだけでは嫌だ」
「白ければ良いわけじゃないんだ!」
「透明感のある自然な白さにしてほしいんです!」
そんなこだわりを持たれてるのです。
「透明感のある自然な白さ」
実はこれが非常に難しいのです。
単にメタルボンドをオールセラミックにやり替えれば良いという問題ではないのです。実現するのが難しいからこそ、「透明感のある自然な白さ」にこだわる患者さんが満足できずにうちの医院に足を運ばれるんだと思います。

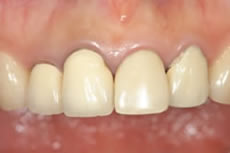
セラミックのクラウンですが、ツヤと形が不十分なようです。
▼

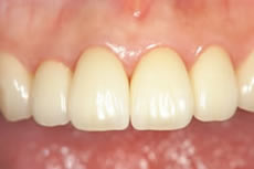
審美治療により、とても自然で若々しい歯となりました。
それは「透明感」と「自然な白さ」が相反するものだからです。,
透明にすればするほど、バックの色が出てきます。
歯のバックには口の中があります。口の中は暗いですから、透明にすればするほど歯は黒く見えてしまうのです。
今度は白さを出そうとすればするほど、透明感が失われていくのです。
でも、あなたのその悩み、諦めないでください。審美歯科治療で解決できる可能性があります。
治療方法
治療方法
オールセラミック
治療回数
基本的に3回
※根管治療が必要な場合はプラス2回程度
費用
1本:136,500円
1回の治療時間
1時間程度
痛み
麻酔が必要な場合がありますが、治療後に痛み、ハレなどが出る心配はありません。
オールセラミック
治療回数
基本的に3回
※根管治療が必要な場合はプラス2回程度
費用
1本:136,500円
1回の治療時間
1時間程度
痛み
麻酔が必要な場合がありますが、治療後に痛み、ハレなどが出る心配はありません。
技工士佐々木さんのプロフィール
●略歴
1989年 大阪セラミックトレーニングセンター卒業
1989年 片岡セラミック入社
大阪セラミックトレーニングセンターインストラクター
1995年 大阪セラミックトレーニングセンター宮崎校所長
イボクラインストラクター
2002年 Dream Ceramic Office開業
2004年 イボクラ国際インストラクター
2008年 都城デンタルコアーカレッジ非常勤講師
●受賞
1992年 Technical Contest 最優秀賞
1993年 Dental Art & Technical Contest入賞
●著書
2008年 QDT9月号MONYHLY FOCUS
-Nature’s Balance- 歯周組織に移行する補綴形態の考えかたPart 2
2005年 QDT2月号 特別企画
歯周組織を考えた補綴物製作
2004年 QDT 5月号MASTER PIECE
Eris for E2を用いたオールセラミック修復
1989年 大阪セラミックトレーニングセンター卒業
1989年 片岡セラミック入社
大阪セラミックトレーニングセンターインストラクター
1995年 大阪セラミックトレーニングセンター宮崎校所長
イボクラインストラクター
2002年 Dream Ceramic Office開業
2004年 イボクラ国際インストラクター
2008年 都城デンタルコアーカレッジ非常勤講師
●受賞
1992年 Technical Contest 最優秀賞
1993年 Dental Art & Technical Contest入賞
●著書
2008年 QDT9月号MONYHLY FOCUS
-Nature’s Balance- 歯周組織に移行する補綴形態の考えかたPart 2
2005年 QDT2月号 特別企画
歯周組織を考えた補綴物製作
2004年 QDT 5月号MASTER PIECE
Eris for E2を用いたオールセラミック修復

