審美歯科の7つの道具〜その6〜
シリコン印象材
精度の高い型探りを実現するため
歯科治療の場合、いかに丁寧に削って、いかに理想形に近づけても、その型採りが失敗すれば、その失敗した型の通りにかぶせ物ができてくるので、それまでの苦労が完全に無駄になってしまいます。
ですから、最高の治療を目指せば、目指す程、型採りというのは大切になります。
お口の中というのは浸出液(歯茎の状態が悪いとじわじわ出てくる体液のようなもの)や血液であふれています。
しかし、精密な型採りを実現するためには、この浸出液と血液をいかに排除するかが重要になるのです。
「浸出液と血液」は歯茎の状態が炎症を起こしていると排除ができません。
ということは、かぶせ物の型採りをするまでにいかにしっかりと歯茎の炎症を抑え、良い状態にしておくかということが非常に重要になります。
一見、「審美歯科」というイメージとはかけ離れてるように思われるかもしれませんが、「審美歯科」とは正に歯科治療の総合格闘技で、全ての治療がハイレベルにできなければ、本当の「審美歯科」を実現することはできないのです。
歯茎の状態を改善するためには歯周病の治療が重要になります。 歯科医院側からすると、どうしても早く治療を進めたいので歯茎の治療が終わってなくても、かぶせ物を入れてしまうことがあるようなのですが、それをしてしまうと、浸出液と血液によって精密な型採りが難しくなってしまいます。
ですので、当院ではしっかりと歯周病の治療が終わってから型採りを行います。
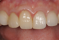
歯茎の状態が改善しても、その後に、入れておく仮の歯が歯茎にぴったりと合っていないと、せっかく健康な状態になった歯茎が炎症を起こし、歯肉炎になってしまいます。歯肉炎になってしまうと問題である「浸出液と血液」が出てきてしまうのです。
ですから、仮歯は見た目の調整だけでなく、歯茎の状態を健康に保つためにも非常に重要なのです。
また、仮歯を歯茎にぴったり合った状態にするためには、いかに精密に歯を削るかということが重要になってきます。だからこそ、マイクロスコープという歯科用顕微鏡で精密に削っていくことがここでも重要になるのです。
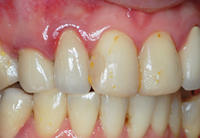
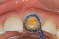
そして、型採りをする前に、歯肉圧排(しにくあっぱい)という操作が重要になります。これをしっかりしていないと、精密な型採りは非常に難しくなります。
歯茎の下にかぶせ物が差し込まれるように精密に歯を削っているのですが、歯と歯茎の下の型を採るためには、歯茎を少し持ち上げた状態を作らなければいけません。そのために型採りの前に歯の周りに糸を巻いて歯茎を浮かせる操作を歯肉圧排といいます。
この歯肉圧排の操作に手間がかかるのです。ですから、やる側としては大変なのですが、本当の「審美歯科」のためには外せない操作なのです。
ここまでしっかりとした準備をしてやっと型が採れるのです。
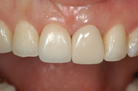
その型採りには通常の材料ではなく、本当の「審美歯科」のためにはシリコンを使います。
ただし、シリコン印象材は精密な印象が採れる代わりに、浸出液と血液の影響を受けやすいので失敗しやすいという難点があります。
しかし、本当の「審美歯科」にはシリコン印象材は必須なのです。当院ではシリコン印象材で精密な型採りを行っています。
治療する歯が多数でも、1回で正確な型が取れるかが勝負となります。1回で取れないと、模型が複数になり精度が落ちてしまうからです。

一見、「審美歯科」というイメージとはかけ離れてるように思われるかもしれませんが、「審美歯科」とは正に歯科治療の総合格闘技で、全ての治療がハイレベルにできなければ、本当の「審美歯科」を実現することはできないのです。
歯茎の状態を改善するためには歯周病の治療が重要になります。 歯科医院側からすると、どうしても早く治療を進めたいので歯茎の治療が終わってなくても、かぶせ物を入れてしまうことがあるようなのですが、それをしてしまうと、浸出液と血液によって精密な型採りが難しくなってしまいます。
ですので、当院ではしっかりと歯周病の治療が終わってから型採りを行います。


また、仮歯を歯茎にぴったり合った状態にするためには、いかに精密に歯を削るかということが重要になってきます。だからこそ、マイクロスコープという歯科用顕微鏡で精密に削っていくことがここでも重要になるのです。

歯茎の下にかぶせ物が差し込まれるように精密に歯を削っているのですが、歯と歯茎の下の型を採るためには、歯茎を少し持ち上げた状態を作らなければいけません。そのために型採りの前に歯の周りに糸を巻いて歯茎を浮かせる操作を歯肉圧排といいます。
この歯肉圧排の操作に手間がかかるのです。ですから、やる側としては大変なのですが、本当の「審美歯科」のためには外せない操作なのです。


治療する歯が多数でも、1回で正確な型が取れるかが勝負となります。1回で取れないと、模型が複数になり精度が落ちてしまうからです。

