マウスピース矯正
マウスピース矯正/アソアライナーとは
歯並びは直したいけど、ワイヤーやバネなど目立つ矯正装置を付けることに抵抗がある方へ、アソアライナーというマウスピース矯正をご紹介します。

食事と歯磨き以外の時間で1日17時間以上使用していただきます。
理想的な歯並びになるように、少しずつ歯を移動させた状態のマウスピースをはめてもらい、歯が動くたびに新しいマウスピースを使用することで歯が動いていきます。
実際には、マウスピースの着け始めは、マウスピースが歯から少し浮いた状態になります。歯をかみ合わせることによって浮いていたマウスピースが少しずつ歯に合っていき、最終的にはきちんとはまります。
きちんとマウスピースがはまったら、新しく歯を移動させたマウスピースにかえます。
これを7~8回繰り返します。およそ1回で0.9㎜程度歯が移動しますので、回数は、歯を動かす量によって決まります。
マウスピース矯正のメリット
■目立たない
従来の金属ワイヤーとブラケットによる矯正装置とは違い、透明なマウスピース型のため、目立たず周囲から気づかれにくい装置です。ブラケットを装着する必要がないため、矯正後の後戻り治療にも最適な装置です。
■取り外しができる
食事や歯磨きの時は、矯正装置を取り外すことができます。従来のワイヤー矯正では困難だった歯磨きが不自由なく行えるため、口腔内を清潔に保つことができます。
■違和感が少ない
金属ワイヤーとブラケットのような装置自体の異物感が少なく、「話しづらい」「口内炎がよくできる」等の不快症状がありません。
■矯正費用が安い
他の矯正装置(ワイヤー矯正、舌側矯正等)と比較して、一般的に費用的な負担が少なく、経済的な矯正装置です。
■痛みが少ない
厚みが違う3種類のマウスピース(ソフト/ミディアム/ハード)を10日毎に使用して、ご自身の咬む力で優しく歯を動かすため、痛みが出にくい矯正装置です。ワイヤー矯正のような調整直後の強い痛みがありません。
■矯正中の虫歯治療が可能
アソアライナーは、毎回型取りをして製作するため、矯正治療中でも虫歯の治療が可能です。
■同時にホワイトニングができる
アソアライナーを利用してホワイトニング(ホームホワイトニング)を行うことができます。ブラケットがないため、オフィスホワイトニングも可能です。
※ただし、歯並びのでこぼこが強い場合や歯と歯の4㎜以上のすき間を閉じる場合、又は、骨格のズレが原因となっているような場合には効果が期待できませんので、まずは、御来院の上、矯正専門医のカウンセリングを受けられて下さい。
従来の金属ワイヤーとブラケットによる矯正装置とは違い、透明なマウスピース型のため、目立たず周囲から気づかれにくい装置です。ブラケットを装着する必要がないため、矯正後の後戻り治療にも最適な装置です。
■取り外しができる
食事や歯磨きの時は、矯正装置を取り外すことができます。従来のワイヤー矯正では困難だった歯磨きが不自由なく行えるため、口腔内を清潔に保つことができます。
■違和感が少ない
金属ワイヤーとブラケットのような装置自体の異物感が少なく、「話しづらい」「口内炎がよくできる」等の不快症状がありません。
■矯正費用が安い
他の矯正装置(ワイヤー矯正、舌側矯正等)と比較して、一般的に費用的な負担が少なく、経済的な矯正装置です。
■痛みが少ない
厚みが違う3種類のマウスピース(ソフト/ミディアム/ハード)を10日毎に使用して、ご自身の咬む力で優しく歯を動かすため、痛みが出にくい矯正装置です。ワイヤー矯正のような調整直後の強い痛みがありません。
■矯正中の虫歯治療が可能
アソアライナーは、毎回型取りをして製作するため、矯正治療中でも虫歯の治療が可能です。
■同時にホワイトニングができる
アソアライナーを利用してホワイトニング(ホームホワイトニング)を行うことができます。ブラケットがないため、オフィスホワイトニングも可能です。
※ただし、歯並びのでこぼこが強い場合や歯と歯の4㎜以上のすき間を閉じる場合、又は、骨格のズレが原因となっているような場合には効果が期待できませんので、まずは、御来院の上、矯正専門医のカウンセリングを受けられて下さい。
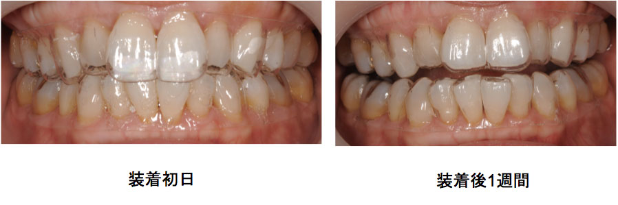
治療の流れ


装着後1週間で浮いていたアソアライナーの2/3くらいが歯に入っています。 10日後にはきちんと装着でいるくらい入っていきます。すべての歯が、アソアライナーに 入ったら、新しいアソアライナーを装着します。


患者様の声
約20年前に、歯の表側をワイヤーで引っ張る通常の矯正を経験しましたが、残念な事に年々以前の歯並びに戻ってきていました。特に笑った時に見える前歯ががたがたになっていたので、思いっきり笑うことが出来ませんでした。 もう一度矯正をしようとも思いましたが、また以前のように歯の表側にワイヤーを付けるのは躊躇していました。
そんな時にアソアライナーのお話を頂き、喜んでお願いしました。
アソアライナーは、痛みもほとんどなくて、期間もあまりかからないのは、矯正経験者の私にとっては、とても嬉しかったです。また、外出の際にはめていても目立たたず簡単に外せるので、食事の時などこそっと外して楽しめました。
最近歯への自信を取り戻した私は改めてホワイトニングもして、友人から笑顔が増えたね!歯が綺麗になった?なんだか明るくなったね!
と言ってもらえるようになりました。
女性として嬉しい限りです!
口元への関心が今まで以上に高まり、歯磨きの時間も長くなった事、そのせいか歯肉の色もますます綺麗なピンク色になって来ています。
歯磨き剤もこだわって歯を白くする効果の物や歯周病予防の物、フッ素入りから口臭予防のもの、その日の気分で使い分けてますます歯磨きが楽しい今日この頃です!
<40代女性 I様>
そんな時にアソアライナーのお話を頂き、喜んでお願いしました。
アソアライナーは、痛みもほとんどなくて、期間もあまりかからないのは、矯正経験者の私にとっては、とても嬉しかったです。また、外出の際にはめていても目立たたず簡単に外せるので、食事の時などこそっと外して楽しめました。

と言ってもらえるようになりました。
女性として嬉しい限りです!
口元への関心が今まで以上に高まり、歯磨きの時間も長くなった事、そのせいか歯肉の色もますます綺麗なピンク色になって来ています。
歯磨き剤もこだわって歯を白くする効果の物や歯周病予防の物、フッ素入りから口臭予防のもの、その日の気分で使い分けてますます歯磨きが楽しい今日この頃です!
<40代女性 I様>
金額
診断料 70,000円(税別)
マウスピース 片顎30,000円(税別)
※マウスピースは複数回製作いたしますので、詳細の金額は診断の際にプランニングしご提示いたします。
マウスピース 片顎30,000円(税別)
※マウスピースは複数回製作いたしますので、詳細の金額は診断の際にプランニングしご提示いたします。

