お口の悩み
生まれつき歯の色が変色している
生まれつき歯の色が変色しているのが嫌で、白い歯になりたい

「生まれつき歯が変色していて、他の病院でホワイトニングしたんですけど、白くなりませんでした」
「生まれつき歯が変色してるのが嫌で、白い歯になりたい」
「生まれつき歯の色が悪いのが気になって、人前で笑えない」
という悩みを抱えた方がうちの医院には多く来院されます。 実は、このようなお悩みを持たれてる方は実は非常に多いのです。
生まれつき歯が変色してることは本人にとってかなりのコンプレックスになってることが多いようです。
また、テトラサイクリンというお薬の副作用で変色してしまった場合など、ホワイトニングをしても十分に白くならない方もいます。
でも、あなたのその悩み、諦めないでください。 審美歯科治療で解決できる可能性があります。

このような、歯の黄ばみはホワイトニングで白くすることができます
▼

オフィスホワイトニングとホームホワイトニングを両方行うことで、あなたの歯をチャームポイントとすることができます。
治療方法
治療方法
オフィスホワイトニング+ホームホワイトニング
治療回数
基本的に5回程度
白さ、回数は個人差があります
費用
7-10万円程度(本数と程度によって違います)
1回の治療時間
オフィスホワイトニングの際は60分、その他は20分程度
痛み
ホワイトニング剤がしみる場合があります。個人差がありますが痛み止めを1回服用すれば問題ない痛さです。
オフィスホワイトニング+ホームホワイトニング
治療回数
基本的に5回程度
白さ、回数は個人差があります
費用
7-10万円程度(本数と程度によって違います)
1回の治療時間
オフィスホワイトニングの際は60分、その他は20分程度
痛み
ホワイトニング剤がしみる場合があります。個人差がありますが痛み止めを1回服用すれば問題ない痛さです。
特徴
●期間がかかります
テトラサイクリンでの変色の場合、通常のホワイトニングに比べて長い期間がかかります。ホームホワイトニングを3ヶ月から6ヶ月ぐらい続ける必要があります。
●白さの限界はあります
テトラサイクリンでの変色の場合、通常のホワイトニングに比べて6倍ぐらい期間がかかるにもかかわらず、その成果は通常のケースに比べて6割から7割改善すれば良い方なのが辛いところです。 しかし、6割から7割改善するだけでも、かなり違うことは確かです。
●ホワイトニングでも白くならない場合はラミネートベニア
ホワイトニングでも白くならない場合は歯の表面を薄く削り、薄いセラミックを張り付けるラミネートベニアという治療をすることでかなり白くできます。 ただし、ラミネートベニアの場合、透明感を出し過ぎると中の変色している歯の色が出てしまうのことがあるので、透明感には限界があります。 ラミネートベニアをキレイにするためにも、ホワイトニングでできるだけ白くしておくことが重要になります。
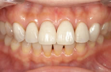
治療前
テトラサイクリンによる変色で形も良くありません。
治療後
ラミネートベニアにより、色も形も同時に理想な状態へ変わります。
どうして私だけ生まれつき歯が変色してるんだろう・・・」と思っていた歯が白くなったら・・・
「この変色した歯が真っ白な歯だったら、私もあんな風におっきな口を開けて笑えるのに・・・」と思っていた歯が白くなったら・・・
あなたがこれまでにずっと思い続けてきたことがホワイトニングかラミネートベニア治療によって実現するかもしれません!
テトラサイクリンでの変色の場合、通常のホワイトニングに比べて長い期間がかかります。ホームホワイトニングを3ヶ月から6ヶ月ぐらい続ける必要があります。
●白さの限界はあります
テトラサイクリンでの変色の場合、通常のホワイトニングに比べて6倍ぐらい期間がかかるにもかかわらず、その成果は通常のケースに比べて6割から7割改善すれば良い方なのが辛いところです。 しかし、6割から7割改善するだけでも、かなり違うことは確かです。
●ホワイトニングでも白くならない場合はラミネートベニア
ホワイトニングでも白くならない場合は歯の表面を薄く削り、薄いセラミックを張り付けるラミネートベニアという治療をすることでかなり白くできます。 ただし、ラミネートベニアの場合、透明感を出し過ぎると中の変色している歯の色が出てしまうのことがあるので、透明感には限界があります。 ラミネートベニアをキレイにするためにも、ホワイトニングでできるだけ白くしておくことが重要になります。

テトラサイクリンによる変色で形も良くありません。
▼

ラミネートベニアにより、色も形も同時に理想な状態へ変わります。
「この変色した歯が真っ白な歯だったら、私もあんな風におっきな口を開けて笑えるのに・・・」と思っていた歯が白くなったら・・・
あなたがこれまでにずっと思い続けてきたことがホワイトニングかラミネートベニア治療によって実現するかもしれません!

