お口の悩み
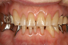
歯がすり減っている
歯がすり減ってしまって前歯の形が悪くなってしまった


「歯がすり減ってしまって、笑った時に前歯が見えない」
歯がすり減ってしまって、前歯の形が悪くなってしまった」
「なんだか、歯がすり減っただけじゃなくて最近、歯の色が黄色くなってきた」
このようなお悩みを持たれてる方は実は非常に多いのです。
歯並び全体が悪いわけではないけど、歯並びの一部に問題がある。
歯がすり減ってしまうのには様々な原因が考えられます。


・拒食症でおう吐を繰り返す際に、酸が歯を溶かしてしまう
・自分では無意識のうちに睡眠中に歯ぎしりを繰り返すことで歯がすり減ってしまう
でも、あなたのその悩み、諦めないでください。 審美歯科治療で解決できる可能性があります。

歯も長年の使用で、擦り減りやひび割れが出てきます。
▼

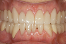
歯の構造体は保存したまま、表面にセラミックスを接着補強することで、人口エナメル質の役目をしてくれます。より強く元気な歯に生まれ変わります。
治療方法
治療方法
主にラミネートベニア
治療回数
基本的に2回
ラミネートベニアだけで対応できない場合はプラス2回程度
費用
1本 126,000円
1回の治療時間
1時間から2時間程度
痛み
麻酔が必要な場合がありますが、治療後に痛み、ハレなどが出る心配はありません
注意事項
治療の特質上、仮歯が壊れやすかったり、外れやすいことがありますがラミネートベニアは丈夫ですので心配ありません
主にラミネートベニア
治療回数
基本的に2回
ラミネートベニアだけで対応できない場合はプラス2回程度
費用
1本 126,000円
1回の治療時間
1時間から2時間程度
痛み
麻酔が必要な場合がありますが、治療後に痛み、ハレなどが出る心配はありません
注意事項
治療の特質上、仮歯が壊れやすかったり、外れやすいことがありますがラミネートベニアは丈夫ですので心配ありません
特徴
●できるだけ削らない治療
ラミネートベニアとは歯の表面を薄く削り、薄いセラミックを張り付ける治療です。
この治療法だと、削る量を最小限に抑えることが可能になります。
すり減ってしまった歯は自分の歯ですので、できるだけ削らない、神経は取らないことが自分の歯を長持ちさせるための秘訣ですので、神経も取らず、できるだけ削らないラミネートベニアがベストの治療法になると思います。
●理想の歯の形を実現します!
歯がすり減ってしまい、自分の理想とはかけ離れた歯の形になってしまっていると思います。「歯が小さくなってしまった」「笑った時に歯が見えない」など、歯がすり減ってしまったことでの悩みも大きかったと思います。
でも、安心してください。 ラミネートベニアをすれば、あなたの理想の歯の形を実現させることができます。 そして、審美的にも美しい歯の形にすることができるのです。
●自分の歯のような白さが実現できます!
ラミネートベニアは薄いセラミックを張り付けるので高い透明感を出すことが可能です。この高い透明感により、自分の歯のような透明感と自然な白さを実現することが可能になるのです。
たくさん削ってラミネートベニアよりも厚みのあるかぶせ物ではどうしても透明感がラミネートベニアには及ばないのです。
●歯の強度が高くなります!
歯がすり減ってしまうことで歯の強度は弱くなってしまっています。 しかし、ラミネートベニアをすることですり減ってしまった歯が補強され、強度が強くなります。
また、ラミネートベニアは歯と一体化し、まるで自分の歯のような強度を持つことが可能なのです。
「どうして、この歯、こんな形になっちゃったんだろう・・・」と思っていたすり減ってしまった歯が元に戻るとしたら・・・
「昔はこんな歯の形じゃなかったのに・・・」と昔の写真を見るたびに思っていた、昔の歯の形、歯の白さが戻ってくるとしたら・・・
「どうして、歯が見えないんだろう・・・」と鏡を見るたびに思っていた歯がしっかりとした形になったら・・・
あなたがこれまでにずっと思い続けてきたことがラミネートベニアによって実現するかもしれません!

この治療法だと、削る量を最小限に抑えることが可能になります。
すり減ってしまった歯は自分の歯ですので、できるだけ削らない、神経は取らないことが自分の歯を長持ちさせるための秘訣ですので、神経も取らず、できるだけ削らないラミネートベニアがベストの治療法になると思います。
●理想の歯の形を実現します!

でも、安心してください。 ラミネートベニアをすれば、あなたの理想の歯の形を実現させることができます。 そして、審美的にも美しい歯の形にすることができるのです。
●自分の歯のような白さが実現できます!
ラミネートベニアは薄いセラミックを張り付けるので高い透明感を出すことが可能です。この高い透明感により、自分の歯のような透明感と自然な白さを実現することが可能になるのです。
たくさん削ってラミネートベニアよりも厚みのあるかぶせ物ではどうしても透明感がラミネートベニアには及ばないのです。
●歯の強度が高くなります!
歯がすり減ってしまうことで歯の強度は弱くなってしまっています。 しかし、ラミネートベニアをすることですり減ってしまった歯が補強され、強度が強くなります。
また、ラミネートベニアは歯と一体化し、まるで自分の歯のような強度を持つことが可能なのです。
「どうして、この歯、こんな形になっちゃったんだろう・・・」と思っていたすり減ってしまった歯が元に戻るとしたら・・・
「昔はこんな歯の形じゃなかったのに・・・」と昔の写真を見るたびに思っていた、昔の歯の形、歯の白さが戻ってくるとしたら・・・
「どうして、歯が見えないんだろう・・・」と鏡を見るたびに思っていた歯がしっかりとした形になったら・・・
あなたがこれまでにずっと思い続けてきたことがラミネートベニアによって実現するかもしれません!

