お口の悩み
歯の変色が気になる
この歯の色が黒いので自信をもって笑えない

「1本だけ歯の色が違うから気になる」
「この歯の色が黒いので自信を持って笑えない」
「このままにしておくと歯が悪くなりそう」
という悩みを抱えた方がうちの医院には多く来院されます。 実は、このようなお悩みを持たれてる方は実は非常に多いのです。


神経を取って1年、2年すると歯科医師が見ると
「あっ、この歯、黒いな」
と変色に気づくぐらいになります。そして、3年から5年すると普通の人から見ても
「あっ、この歯、黒いな」
と変色に気づくぐらいになることが多いです。
でも、あなたのその悩み、諦めないでください。 審美歯科治療で解決できる可能性があります。

▼

治療方法
治療方法
ウォーキングブリーチ
治療回数
基本的に3-5回
白さ、回数は個人差があります
費用
1本 31,500円
1回の治療時間
30分程度
痛み
ありません
ウォーキングブリーチ
治療回数
基本的に3-5回
白さ、回数は個人差があります
費用
1本 31,500円
1回の治療時間
30分程度
痛み
ありません
特徴
●ホワイトニング剤を歯の中に入れます
歯の中にホワイトニング剤を直接、入れて、塞ぎます。
それを3-5回、繰り返すと7割ぐらいの方は歯が白くなります。
●上手く行かない場合もあります
7割ぐらいの方は白くなるのですが、3割ぐらいの方は白くなりません。 それはやってみるまで分かりません。一概に元が黒いほど白くならないかというとそういうわけではありません。
●ウォーキングブリーチでも白くならない場合はラミネートベニア
ウォーキングブリーチでも白くならない場合は歯の表面を薄く削り、薄いセラミックを張り付けるラミネートベニアという治療をすることで白くできます。
ただし、ラミネートベニアの場合、透明感を出し過ぎると中の変色している歯の色が出てしまうのことがあるので、透明感には限界があります
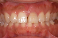
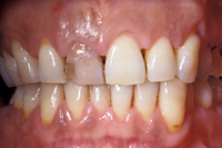
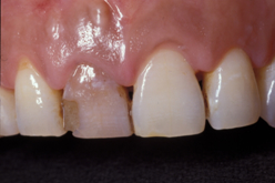
治療前
左の歯は神経が死んでしまって年月が経過し、赤黒く変色してしまっています。ホワイトニング剤を歯の中に入れます
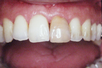
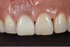
治療後
更にセラミックの治療を行いました
「この黒っぽく変色してる歯の変色がなくなったらな・・・」と思っていた歯が白くなったら・・・
「この歯が他の歯と同じ色になったらな・・・」と思っていた歯が白くなったら・・・
あなたがこれまでにずっと思い続けてきたことがホワイトニングかラミネートベニア治療によって実現するかもしれません!

●上手く行かない場合もあります
7割ぐらいの方は白くなるのですが、3割ぐらいの方は白くなりません。 それはやってみるまで分かりません。一概に元が黒いほど白くならないかというとそういうわけではありません。
●ウォーキングブリーチでも白くならない場合はラミネートベニア


左の歯は神経が死んでしまって年月が経過し、赤黒く変色してしまっています。ホワイトニング剤を歯の中に入れます
▼

更にセラミックの治療を行いました

「この歯が他の歯と同じ色になったらな・・・」と思っていた歯が白くなったら・・・
あなたがこれまでにずっと思い続けてきたことがホワイトニングかラミネートベニア治療によって実現するかもしれません!

